• +91-98410 89602
  • info@rkdentalclinic.in
  • 5 PM to 9 PM (Monday – Saturday)
  • +91-98410 89602

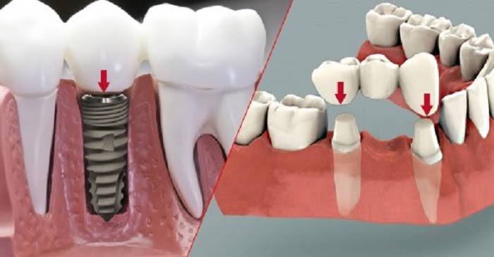
A dental implant is an artificial tooth root (tiny titanium posts) which are placed into the jawbone where teeth are missing. Once a dental implant is placed, it gradually fuses with the jawbone creating a strong foundation for artificial teeth. Dental implants are a secure and a long-lasting solution to missing teeth. They are the best alternatives for dentures and dental bridges.

Benefits of Implants:
  • An implant looks and functions like a natural tooth
  • They are long lasting and have good success rate
  • It restores full chewing power
  • Dental implants prevent bone loss in your jawbone
  • It supports adjacent teeth (neighboring teeth are undisturbed)
  • It enables natural speech – no slippage of dentures
  • Dental implants support facial structures – prevents facial sagging and premature ageing

Types of Dental Implant:

Single tooth dental implant

These are used to replace a single missing tooth.

Implant supported bridge

When multiple teeth are missing (adjacent to each other) the best option is an implant supported bridge.

Implant supported denture

If in case you are missing all of your teeth, then an implant supported denture is the perfect choice of treatment.

The other recent and latest additions are Zygoma implants, All on 4 implants, Immediate implants etc.,

Why are dental implants considered superior to bridges and dentures?

Bridges: For placing a dental bridge often two or more healthy teeth need to be altered. So, losing some of your precious natural teeth is sometimes not considered as a healthy option

Dentures: Implants provide outstanding experience compared to dentures. Though we fabricate the most stable dentures it is difficult to keep any dentures continually stable. Its due to the wear of the bony structure that supports the denture. Here are few points to consider while you choose traditional dentures.

  • Dentures may slip out while eating and speaking
  • Its hard to chew with full force with dentures so you can’t eat all your favorite food
  • Dentures may give clicking sound while eating
  • Lot of bone loss may occur with the use of dentures
  • Dentures usually have to be worn with a dental adhesive for better support
  • Dentures may lead to premature ageing of your face (facial sagging and excessive wrinkles due to bone loss)