Laser Dentistry is one of the most advanced dental technologies available today. It has enabled the dentist to render efficient, quick and comfortable dental treatment compared to traditional methods. Here at R.K. Dental Clinic you can experience our advanced laser technology – soft tissue diode laser. It is a high-quality laser with super pulse technology which gives maximum comfort to patients.
A laser is an instrument that produces a very narrow intense beam of light energy. The light produced by the laser can remove/shape tissue with less pain and shorter recovery time.
Lasers have made dentistry easier and more painless than it has ever been. There are number of advantages associated with laser dentistry. Some of which include:
Apart from the regular deep cleaning, here at R.K. Dental Clinic you can have additional benefits of lasers. Our lasers can effectively kill and destroy all the remaining bacteria lingering between the tooth and gums. It is termed as LBR – Laser Bacterial Reduction
The FDA has approved lasers as an adjunct in root canal procedures. The use of lasers in aiding root canal disinfection is more promising than the traditional root canal. Lasers can target bacteria and infected material with greater accuracy and precision
Did you know? Laser Bleaching procedure gives you a whiter and brighter smile in just 30 minutes. Laser acts as an activator, enhancing the bleaching effect of the whitening gel allowing maximum results in a short time.
According to reports, tooth sensitivity is one of the most commonly encountered dental problems. The annoying pain can significantly affect an individual’s quality of life itself. Usually, conventional anti-sensitive toothpaste aims to block the exposed pores (tubules) and it takes more time to work.
However, at R.K. Dental Clinic, with our high-end laser, sensitivity can be effectively reduced or even eliminated totally. Lasers have been proven with high success rate as it has the potential of sealing the tubules completely.
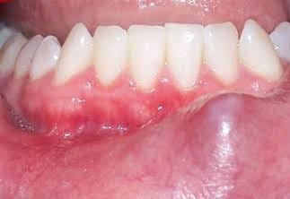
It is a well-known fact that gum diseases, if left untreated, can lead to tooth loss. The usual method of gum surgery is invasive and more traumatic to the patients. But you can experience painless and most comfortable gum surgery with the help of our lasers.
Ultrasonic scalers and laser energy are used to remove tartar and debris from the root surface. Laser light removes bacteria and diseased tissue from the gum pockets. Studies have shown that LANAP (Laser Assisted New Attachment Procedure) is capable of reducing 99 percent of bacteria from the infected gums. You can have perfect, healthy gums that too with no pain and discomfort at R.K. Dental Clinic
Are you worried about having dark gums? And you become more conscious while speaking and smiling?
As we all have different skin tones, different gum tones are also more common. Melanin is the pigment responsible for both skin and gum color. Your body might also produce more Melanin in response to an irritation. Some of the irritants are:
With our lasers, we can painlessly and accurately remove the dark pigmented areas. Treatment with a laser is usually quick and most people get the desired results just after single treatment session.
About 10 percent of babies are born with tongue or lip tie (sometimes both) which hinders the baby’s nursing ability. Our Laser dentistry offers a precise, painless and quick relief for your breastfeeding problem.
Tongue tie occurs when the band of tissue that connects the tongue to the mouth is abnormally short or thick resulting in restricted movement of the tongue. Lip tie is also a similar condition of the lip to gums.
Most often goes unnoticed, lip and tongue tie can be an underlying cause of feeding problems and a multitude of other conditions
Apart from the baby, the mother also experiences severe pain while breastfeeding resulting in cracked, bruised or bleeding nipples.
The solution is simple, but the results are amazing. A laser is used to release or free the tongue/lip tie thereby reducing the restriction of movements. It is named as laser revision or laser frenectomy. There is no need of any anesthetic injection and stitches. It can be done by applying a numbing gel. The procedure is so quick with minimal discomfort that allows you to breastfeed immediately after the procedure. Key benefits of laser surgery are:
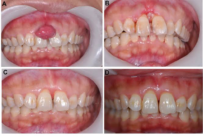
Some people have a lot of gum tissue that can be seen whenever they laugh or speak. It is referred as gummy smile.
Although it is not a serious issue, individuals with gummy smile feel less confident about their smile. If you feel so, come visit us for a ‘gum lift’ cosmetic procedure that raises your gum line. This procedure includes the reduction and reshaping of the gum tissue to create an appearance of longer and symmetrical teeth. You can now smile with confidence after laser gummy smile correction.
Chronic pain in and around jaw joint (Temporomandibular joint – TMJ) can be caused by a combination of factors like arthritis, teeth grinding etc., You may experience any of the following:
Laser treatment for TMJ problem are known as Low Level Laser Therapy (LLLT) or Cold laser therapy. LLLT is the best choice of treatment for patients with chronic pain conditions who are desperately seeking relief.
Mouth ulcers (also known as canker sores or aphthous ulcers) are small ulcers in the mouth that can cause pain when talking, eating, smiling, or drinking. Mouth ulcers typically last for 7-14 days and they are mostly harmless. However, if your ulcer lasts for more than 15 days, it has to be examined carefully.
Although it is very difficult to determine the exact cause of mouth ulcer, there are many factors causing it
Mouth ulcers are generally treated by analgesic gel, steroid ointments, vitamin supplementation etc., All of which can just aid in the natural healing process of 7-14 days
We are so proud of having a dental laser at R.K. Dental Clinic that can treat mouth ulcer and provide instant relief from the pain. Without any injection to numb the area, the painless laser energy penetrates the lesion in order to heal the ulcer.
In addition to the above-mentioned treatments, our lasers can be used in a number of pain free surgical procedures.
.jpeg)
.jpeg)
.jpeg)
.jpeg)
.jpeg)
.jpeg)
Mouth opening surgery for OSMF (Oral submucous fibrosis) - Mainly caused by tobacco chewing resulting in restricted mouth opening, burning sensation in mouth, stiffness of oral soft tissues, loss of taste sensation and sometimes hearing loss too. It is a pre-cancerous condition.