• +91-98410 89602
  • info@rkdentalclinic.in
  • 5 PM to 9 PM (Monday – Saturday)
  • +91-98410 89602
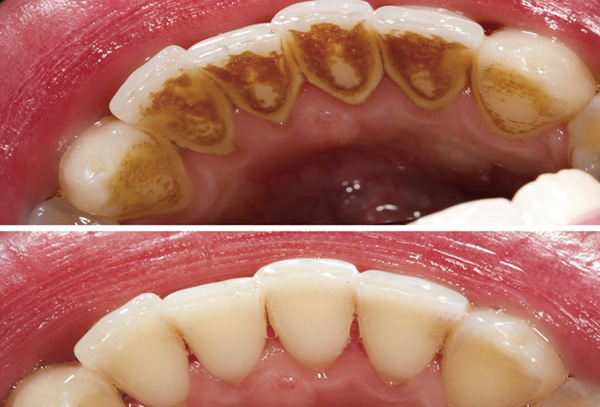
What is plaque and calculus?

Dental plaque is a soft sticky film that builds upon your teeth. Bacteria live in plaque and secrete acids that cause tooth decay and gum diseases. Over time if plaque is not removed on a regular basis by toothbrushing and flossing, it hardens to form tartar (calculus) within 24 to 72 hours. While you can resolve plaque at home tartar removal requires the help of a dental professional. Because tartar build up on teeth is strongly bonded to the tooth enamel.

Why a professional teeth cleaning is necessary?

Teeth cleaning aims at removing plaque, tartar and stains that have accumulated on the teeth over a period of time. Even with regular brushing and flossing at home, plaque and tartar can develop on tooth surface. It is because of the difficulty in accessing the pits and fissures on the teeth and the corners of the mouth. So, the professional cleaning of teeth is a crucial part of good oral hygiene. It is recommended to have your professional teeth cleaning every 6 to 12 months

Benefits of teeth cleaning
  • Helps to prevent gum diseases
  • Prevents bad breath
  • Helps to avoid cavities and tooth decay
  • Brightens your smile by removing stains
  • Reduces the risk of having severe health issues like diabetes, heart diseases, dementia etc.,