• +91-98410 89602
  • info@rkdentalclinic.in
  • 5 PM to 9 PM (Monday – Saturday)
  • +91-98410 89602

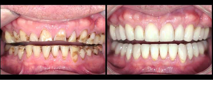
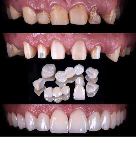
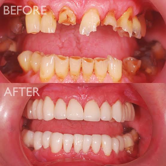
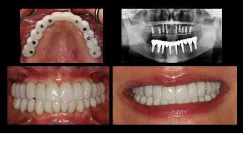
Full mouth reconstruction (or full mouth rehabilitation) refers to restoration or replacement of all or most of the damaged and missing teeth in a patient’s mouth. It is basically an inter disciplinary treatment required to rejuvenate oral health and overall wellbeing. Patients can get a new life with full moth reconstruction.

When a full mouth reconstruction is indicated?

You need to go for full mouth reconstruction if you experience any of the following:

  • Chipped, cracked or worn out teeth
  • Severe teeth grinding (bruxism)
  • Injured or fractured teeth
  • Frequent pain around jaw joint
  • Change in your bite (traumatic occlusion)
  • Frequent headaches or migraine
  • Unexplained loose teeth

How full mouth reconstruction is done?

Full mouth reconstruction comprises of one or more of these treatment procedures:

Implants:

Dental implants are placed to replace missing teeth

Crowns and Bridges:

Missing teeth can also be replaced by bridges, crowns, inlays etc., depending on the condition of your teeth.

Bruxism treatment:

Correction of neuromuscular problems like jaw joint (TMJ) and bite issues. Soft oral appliance may be advised to reduce the effects of bruxism.

Root canal treatment:

For severely damaged or decayed teeth

Surgical treatment:

Involves tooth extractions, gum surgery, root planing, soft tissue grafts etc.,

Cosmetic treatment:

Laser teeth whitening, gum recontouring and porcelain/composite veneering are customized to improve each patients’ aesthetic value